Centre de Santé Dentaire de Toulon
Chirurgiens-Dentistes à Toulon
31 Avenue Marcel Castié, 83000 Toulon
+33 4 84 99 10 30

Blog - Page 11

Orthodontie : idées reçues, idées revues

Orthodontie : idées reçues, idées revues

Bridge collé

Bridge collé

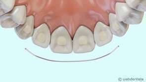
Fil de contention

Fil de contention

Conséquence de la perte des dents postérieures

Conséquence de la perte des dents postérieures

Protocole de dévitalisation d'une dent ou traitement endodontique

Protocole de dévitalisation d'une dent ou traitement endodontique

Orthopédie PLANAS

Orthopédie PLANAS

Orthopédie PLANAS

Affichage des articles 61-66 sur 279